흉부 X-ray 영상 분석해 5개 이상 소견 유무 검출
“건강보험 수가 진입 위한 근거 마련에 최선 다할 것”
뷰노는 인공지능(AI) 기반 흉부 X-ray 판독 및 소견 검출 의료기기 ‘뷰노 메드-체스트 엑스레이(VUNO Med-Chest X-ray, 이하 Chest X-ray)’가 혁신의료기술로 승인돼 오는 6월 1일부터 비급여 시장에 진입한다고 15일 밝혔다.
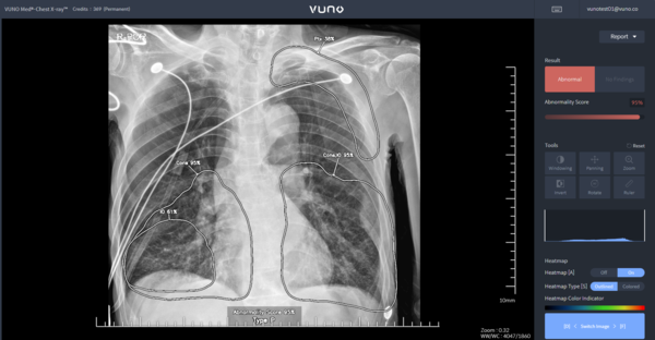
보건복지부의 혁신의료기술 관련 고시 확정에 따라 Chest X-ray는 2025년 6월 1일부터 2028년 5월 31일까지 3년간 임상 현장에서 사용이 가능하다. 이 제품은 흉부 X-ray 영상을 분석해 결절, 경화, 간질성 음영, 흉막 삼출, 기흉 등 5개 이상 소견 유무를 검출하고, 소견 조합을 통해 폐렴과 폐결핵 두 가지 질환을 선별하는 진단 보조 소프트웨어다.
의료기관은 한국보건의료연구원(NECA)에 신고 및 접수를 통해 Chest X-ray 실시기관이 될 수 있으며, 실시 의료기관에 근무 중인 의사는 신고 후 비급여 청구가 가능하다. 흉부방사선 촬영 이후 Chest X-ray를 사용하면 흉부 촬영과 인공지능 분석에 대한 각각의 수가 청구가 가능하다.
혁신의료기기 통합심사·평가는 보건복지부와 식품의약품안전처가 주관하는 제도로, AI·빅데이터, 디지털·웨어러블 기술을 활용한 혁신의료기기가 의료현장에서 신속하게 사용될 수 있도록 지원한다. 이를 통해 임상 근거를 축적하고 새로운 의료기술의 가치를 입증하며, 환자의 진단·치료 방법 확대로 편익 증진을 목표로 한다.
뷰노 이예하 대표는 “Chest X-ray가 의료현장에서 실제로 활용돼 더 많은 환자들이 폐, 심장 관련 질환을 조기에 정확하게 진단받을 수 있기를 기대한다”며 “실사용 데이터를 기반으로 향후 신의료기술평가 통과 및 건강보험 수가 진입을 위한 근거 마련에 최선을 다하겠다”고 말했다.
관련기사
- 뷰노, 1분기 매출 성장세 뚜렷…적자 폭 개선은 과제
- 코어라인소프트, 311억 유상증자 결정…전액 운영자금 활용
- 뷰노, KIMES 2025서 신제품 ‘HATIV K30’ 선봬
- 뷰노, HIMSS 2025 참가…“딥카스 전세계 알린다”
- AI가 입원환자 모니터링하는 시대…기술 경쟁 본격화
- 뷰노 'Chest X-ray' 비급여 사용 길 열려
- 뷰노 이예하 대표, 한국공학한림원 신입 일반회원 선정
- 뷰노, 237억 규모 영구 전환사채 발행…“법차손 문제 해결”
- 뷰노, "북미영상의학회서 해외 마케팅 집중"
- 뷰노, 유럽심장학회서 AI 심전도 분석 연구 발표
