뷰노메드 체스트 엑스레이 공급… 유럽 주요 국가 판매 예정
뷰노(대표 이예하)가 세계 최대 엑스레이 OEM 전문 기업 세데칼(Sedecal)과 AI 기반 엑스레이 판독 보조 솔루션 뷰노메드 체스트 엑스레이 공급 계약을 체결했다고 11일 밝혔다.
세데칼은 1994년 설립돼 스페인에 본사를 둔 글로벌 엑스레이 OEM(주문자상표부착생산) 전문 기업이다. GE헬스케어, 지멘스, 필립스, 아그파 등 대표적인 글로벌 의료기기 기업들에게 OEM 형태로 엑스레이 시스템을 납품하고 있다.
이번 계약에 따라 뷰노는 뷰노메드 체스트 엑스레이를 세데칼에 공급한다. 세데칼은 엑스레이 시스템에 뷰노의 AI 솔루션을 연동해 해외 주요 국가에 판매할 예정이다. 앞서 세데칼은 지난 1월 제품 연동을 완료하고 초도 물량에 대한 첫 구매 발주를 진행한 바 있다.
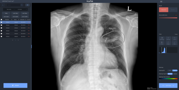
뷰노메드 체스트 엑스레이는 흉부 엑스레이 영상에서 결절, 경화, 간질성 음영, 흉수, 기흉 등 주요 이상 소견을 높은 정확도로 탐지하는 인공지능 솔루션이다. 의료진에게 이상 소견의 소견명과 위치를 제시해 결핵, 폐렴 등 주요 폐 질환 진단을 돕는다. 경량화된 모델로 개발돼 다양한 엑스레이 장비에 쉽게 연동할 수 있는 것이 특징이다.
양사는 AI 솔루션을 연동한 엑스레이 시스템을 유럽 지역 주요 국가에 집중적으로 판매할 계획으로, 추후 남미, 중동, 아프리카 등 다른 지역까지 판매망을 넓힐 예정이다.
뷰노 이예하 대표는 “우수한 글로벌 네트워크를 보유하고 있는 세데칼과 협업함으로써 뷰노메드 체스트 엑스레이의 B2B 사업을 강화하는 한편, 유럽 지역을 중심으로 해외 성과를 가속화할 수 있는 기반을 마련했다”며 “각 제품의 특성에 맞는 사업 전략을 세운 결과 매출 구조가 안정적으로 구축되고 있는 만큼 지금의 실적 세를 이어갈 수 있도록 최선을 다하겠다”고 말했다.
